Клинический случай №1
Ситанов Алексей Сергеевич
Врач по рентгенэндоваскулярной диагностике и лечени
Стаж 13 лет Записаться на приемСтруктура статьи
Вместе с вами эту статью прочитали 8 606 человек с 15 августа 2025 года
Сердечно-сосудистая хирургия. Клинический случай №1
Ситанов Алексей Сергеевич, врач по рентгенэндоваскулярной диагностике клиники ЦЭЛТ освещает типичный случай из практики лечения аорты брюшного отдела и артерий нижних конечностей.
Карта пациента
Пол: мужской
Возраст: 55 лет
Жалобы: 3 года назад заметил появление болей в икроножных мышцах при длительной ходьбе. В течении 3-х лет отмечал уменьшение дистанции безболевой ходьбы. Последние 2 месяца отмечает уменьшение чувствительности обеих голеней и стоп, периодически начали появляться боли в правой голени ночью, которые не давали спать. Пациент обращался за помощью в различные медицинские учреждения и ему было предложено проводить полостную операцию, что очень травмоопасно и требует длительного периода реабилитации.
Диагностика заболевания:
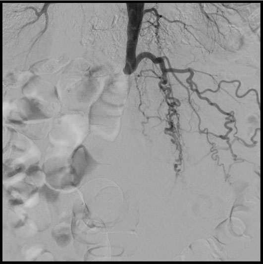
По рекомендации знакомых пациент обратился в клинику ЦЭЛТ, где выполнено УЗИ, компьютерная томография и ангиография брюшного отдела аорты и артерий нижних конечностей.
Выявлено:
В ходе обследований было выявлено критическое поражение сосудов – ниже отхождения почечных артерий полная окклюзия (закупорка) брюшного отдела аорты, левой и правой подвздошных артерий. Кровоток к бедренным артериям и ниже доходил в недостаточном количестве, через обходные сосуды (коллатерали).
Направление:
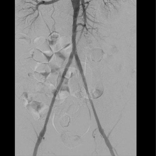
Пациенту была выполнена высокотехнологичная миниинвазивная эндоваскулярная операция – баллонная ангиопластика и стентирование брюшного отдела аорты, левой и правой подвздошных артерий, с хорошим результатом, с полным восстановлением прямого кровотока на всем протяжении обеих нижних конечностей. Данная операция миниинвазиваная, длилась 2.5 часа, была выполнена через 2 маленьких прокола в руке и ноге под местной анестезией и является альтернативой большой и долгой полостной операции, с разрезом брюшной полости под общим наркозом, которые чаще всего выполняются при таком сложном поражении.


