
Современная медицина определяет желчекаменную (или желчнокаменную) болезнь, как процесс образования в желчном пузыре плотных тел – камней (или конкрементов). Согласно статистическим данным ВОЗ, желчнокаменная болезнь у женщин наблюдается намного чаще, чем у мужского населения. По информации различных исследователей это соотношение составляет от 3 к 1 до 8 к 1. Кроме того, количество случаев заболевания увеличивается с возрастом. Так, например, у детей эта патология встречается крайне редко, а вот в возрасте более 70 лет ее проявления отмечаются почти у трети населения планеты.
Практически все конкременты при химическом исследовании демонстрируют сложный многокомпонентный состав со значительным преобладанием холестерина. Форма и размер камней могут быть разными — от мелких частичек менее миллиметра в диаметре до крупных образований до нескольких сантиметров.
На начальной стадии эта патология практически не имеет каких-либо клинических признаков. Первые симптомы могут появляться в ряде случаев только через 7-10 лет после фактического начала заболевания.
Наиболее яркое проявление ЖКБ – желчная колика. Это острые, внезапные болевые ощущения, которые обусловлены спазмом или растяжением желчевыводящих путей. Такой приступ может быть спровоцирован множеством факторов — погрешностью в питании, физической нагрузкой и другими. Боли носят, как правило, колющий или режущий характер. Нередко болевые ощущения иррадиируют в спину и правую лопатку, правое плечо и предплечье, в поясницу, вниз живота, в левое подреберье, а также в область за грудиной, что выглядит очень похожим на приступ стенокардии.
Еще одним проявлением ЖКБ является желтушная окраска склер и кожных покровов. Это проявление одного из осложнений желчекаменной болезни — холедохолитиаза.
В некоторых случаях ЖКБ может протекать и вовсе бессимптомно. В таких ситуациях камни становятся внезапной находкой при проведении обследования.
При подозрении на наличие желчекаменной болезни пациенту следует обратиться на консультацию к гастроэнтерологу или к хирургу.

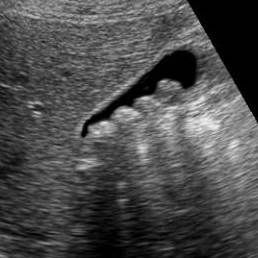
Наиболее распространенный метод выявления этого заболевания – ультразвуковое исследование. Благодаря современной аппаратуре и опыту врачей клиники ЦЭЛТ, его результатов хватает для уверенной установки диагноза. Но иногда в качестве дополнительных методов применяется ретроградная панкреатохолангиорентгенография и МР-холангиография.






Нехирургическая терапия включает соблюдение диеты с ограничением жирной, жареной и пряной пищи, а также продуктов с высоким содержанием холестерина. Попытки растворения камней в желчном пузыре при помощи препаратов желчных кислот (урсодезоксихолевая и хенодезоксихолевая) малоэффективны.
Применение желчегонных препаратов, а также «народных способов» (оливковое масло с лимоном и др.) крайне опасно. Камни могут попасть из пузыря в желчные протоки и вызывать осложнения — желтуху и холангит. То есть это не только неэффективно, но и опасно. Также к осложнениям приводят попытки дистанционного дробления камней, которые предпринимались на заре появления аппаратов дистанционного дробления камней с помощью ультразвука (литотрипсия).
Сейчас для лечения желчнокаменной болезни эти методы не рекомендуются и не применяются в клинике ЦЭЛТ.
Единственным радикальным методом лечения ЖКБ является хирургический с помощью операции. Такая операция называется холецистэктомия. В многопрофильной клинике ЦЭЛТ уже на протяжении более 25 лет успешно выполняется лапароскопическая холецистэктомия, при которой желчный пузырь удаляется не открытым способом, а через небольшие проколы.
Администрация АО "ЦЭЛТ" регулярно обновляет размещенный на сайте клиники прейскурант. Однако во избежание возможных недоразумений, просим вас уточнять стоимость услуг по телефону: +7 (495) 788 33 88
| Название услуги | Цена в рублях |
|---|---|
| Ультразвуковое исследование органов брюшной полости (комплексное) | 4 400 |
| Магнитно-резонансная холангиография | 9 900 |