Ротационная атерэктомия коронарных артерий: ювелирная работа для спасения жизни
Ситанов Алексей Сергеевич
Врач по рентгенэндоваскулярной диагностике и лечени
Стаж 14 лет Записаться на приемСтруктура статьи
- Чудо инженерной мысли: ротационная атерэктомия с помощью Rotablator
- Ход операции: ювелирное восстановление артерии
Вместе с вами эту статью прочитали 30 человек с 18 февраля 2026 года
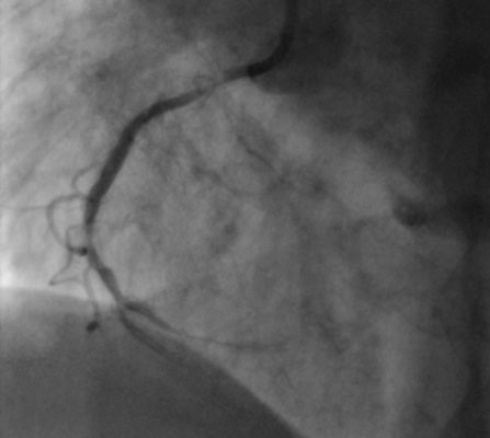
В клинике «Центр эндохирургии и литотрипсии» (ЦЭЛТ) успешно проведена ротационная атерэктомия с последующим стентированием правой коронарной артерии у 77-летней пациентки. Это вмешательство позволило устранить критическое сужение сосуда, вызванное выраженным кальцинозом, вернув пациентке надежду на полноценную жизнь.
Пациентка: Женщина, 77 лет.
Клиника: ЦЭЛТ
Причина обращения: Одышка, усиливающаяся в положении лежа, отеки нижних конечностей до середины бедра, общая слабость – симптомы, указывающие на серьезные проблемы с сердцем.
Диагноз при поступлении: Гипертоническая болезнь III стадии, риск 4, с сердечной недостаточностью НК II Б-II степени и сниженной фракцией выброса левого желудочка (36%). Выявлены кардиомегалия (увеличение размеров сердца) и легочная гипертензия.
Диагностика: Коронарография, проведенная в ЦЭЛТ, обнажила сложную картину: многососудистое поражение коронарных артерий с обширным отложением кальциевых бляшек по всей венечной системе. Такая степень кальциноза делала стандартную ангиопластику (баллонное расширение сосуда) невозможной.

В связи с этим было принято решение о проведении первого этапа – ротационной атерэктомии правой коронарной артерии с использованием передовой системы Rotablator.
Чудо инженерной мысли: ротационная атерэктомия с помощью Rotablator
Описание устройства: Rotablator – это высокотехнологичный инструмент, представляющий собой специальный бур с алмазным напылением. Благодаря уникальной микроструктуре алмазов, он способен бережно "шлифовать" исключительно плотную, кальцинированную ткань, не затрагивая при этом эластичные и здоровые стенки сосуда.

Это делает возможным проведение эффективных вмешательств даже при выраженном кальцинозе, где традиционные методы бессильны. Диаметр наконечника бура подбирается индивидуально, максимально соответствуя диаметру пораженного участка артерии.
Ход операции: ювелирное восстановление артерии
Под ангиографическим контролем, через ранее установленный доступ в правой лучевой артерии, коронарный проводник направил бур Rotablator в правую коронарную артерию. В зоне кальцинированного поражения, на сверхвысоких оборотах (от 160 до 180 тысяч в минуту), была проведена атерэктомия. Алмазный бур бережно удалил кальциевые отложения со стенок артерии, сохраняя ее эластичность. Это позволило создать необходимое просвет сосуда, подготовив его для последующего стентирования.
Далее последовала предилатация – расширение артерии специализированным баллоном. Затем под тщательным контролем рентгена был точно установлен стент с лекарственным покрытием. Финальным этапом стала постдилатация – расширение стента баллоном высокого давления, гарантирующее его оптимальное раскрытие и надежное прилегание к стенке сосуда.
Результат:
На контрольная ангиографии выявлен хороший непосредственный результат в местах ангиопластики с минимальным остаточным стенозом, с отсутствием признаков дессекции (повреждение внутренней стенки сосуда), кровоток по TIMI III. Пациент был выписан на следующий день после операции в удовлетворительном состоянии.

Заключение:
Данный клинический случай демонстрирует успешное применение высокотехнологичного метода ротационной атерэктомии (Rotablator) для лечения тяжелого кальцинированного многососудистого поражения коронарных артерий, которое было неоперабельно стандартными методами чрескожного коронарного вмешательства. Метод позволил безопасно удалить кальций и создать условия для эффективного стентирования, что привело к быстрой реабилитации пациента.
Данное клиническое наблюдение демонстрирует высочайший уровень мастерства специалистов ЦЭЛТ и эффективность применения современных технологий в лечении сложных сердечно-сосудистых заболеваний.