Облитерирующий атеросклероз артерий нижних конечностей
Ситанов Алексей Сергеевич
Врач по рентгенэндоваскулярной диагностике и лечении
Стаж 14 лет Записаться на приемВместе с вами эту статью прочитали 231 человек с 03 марта 2026 года
Пациент: В., 77 лет.
Диагноз: Облитерирующий атеросклероз артерий нижних конечностей. ХИНК (хроническая ишемия артерий нижних конечностей) 3 ст. Критическая ишемия левой нижней конечности. Окклюзия поверхностных бедренных артерий и берцовых артерий с обеих сторон. Стеноз левой наружной подвздошной артерии. Аневризма наружной подвздошной и общей бедренной артерии слева. Состояние после реконструктивной операции на бедренных артериях слева (2021 г), петлевой эндартерэктомии из правой подвздошной артерии, аутоартериальной профундопластикой (14.08.2025г).
Выполненная операция: Высокотехнологичная гибридная реваскуляризация артерий левой нижней конечности - Резекция аневризмы наружной подвздошной (НПА) и общей бедренной (ОБА) артерий слева. Наружноподвздошно-глубокобедренное протезирование синтетическим протезом ПТФЭ 8 мм, Протезо-подколенное шунтирование выше щели коленного сустава слева, баллонная ангиопластика и стентирование левой НПА и артерий голени)
Анамнез:
В. обратился в клинику ЦЭЛТ с жалобами на боль, онемение и ощущение холода в левой стопе и голени при ходьбе на расстояние менее 20 метров, периодически появляющиеся в покое и мешающие спать. Несколько лет назад в другой клинике была выполнена реконструктивная операция на сосудах левой нижней конечности, через некоторое время симптомы вернулись, в течение долгого времени жалобы прогрессировали. В настоящий момент начали появляться боли в покое, которые не давали спать. Данные жалобы указывают на развитие критической ишемии – состояние, при котором кровоток в конечности настолько снижен, что возникает прямая угроза развития гангрены и потери конечности.
В отделении ССХ клиники ЦЭЛТ выполнена ангиография нижних конечностей
Обследование в отделении сердечно сосудистой хирургии подтвердило сложное, многоуровневое поражение артерий левой нижней конечности: аневризма наружной подвздошной и общей бедренной артерий, закупорки и сужения были обнаружены на всем протяжении – от подвздошных артерий в малом тазу до мелких сосудов голени. Кровоток до стопы доходил в малом количестве, через обходные пути (коллатерали).
Значимый стеноз общей подвздошной артерии, аневризматически расширенная наружная подвздошная артерия |
Аневризматичски расширенная общая бедренная артерия, окклюзия поверхностной и глубокой бедренной артерий |
|
Пораженная подколенная артерия |
Окклюзия артерий голени |
План лечения
Для такого сложного случая стандартного подхода было недостаточно. Единственный шанс на спасение конечности пациенту это проведение гибридной операции – современную методику, которая сочетает в себе сильные стороны двух видов хирургии:
- Открытой (традиционной) – для создания новых путей кровотока (шунтов) из прочных синтетических материалов.
- Эндоваскулярной (внутрисосудистой) – для расширения суженных участков артерий изнутри с помощью тонких инструментов и стентов, без больших разрезов.
Ход операции
Операция прошла в современной рентгенохирургической операционной, где есть все необходимое оборудование для работы и открытым, и эндоваскулярным способом. Пациенту проведен общий наркоз.
Первый этап – открытая хирургия. Бригада сосудистых хирургов, после выделения пораженных артерий выполнила иссечение аневризмы наружной подвздошной артерии, затем выполнено сложное шунтирование. Были созданы новые, надежные пути для кровотока в обход закупоренных артерий. Для этого использовались специальные сосудистые протезы, которые соединили (сформировали анастомозы) между подвздошной, бедренной и подколенной артериями, восстановив магистральный кровоток на всех уровнях.

Иссечённый аневризматически расширенный сосуд

Иссечённая аневризма

Пораженная стенка сосуда с атеросклеротической бляшкой
Пораженная стенка сосуда с атеросклеротической бляшкой
Второй этап – эндоваскулярная хирургия. Без перекладывания пациента, на том же операционном столе, в работу вступила бригада эндоваскулярных хирургов. Следующим этапом выполнено стентирование и баллонная ангиопластика сосудов нижней левой конечности:
-
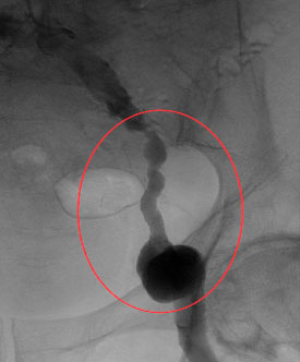
Через подвздошно-бедренный шунт, установлен интродьюсер (порт служащий для заведения в сосуд хирургического инструментария), далее по рентген контролем позиционирован и имплантирован стент в подвздошную артерию с переходом на ранее установленный шунт.

Ангиографическая картина перед стентированием

Ангиографическая картина после стентирования
- Следующим этапом выполнена механическая реканализация и баллонная ангиопластика артерий голени.
Интродьюсер, установленный в подвздошно-бедренный шунт |
Ангиографическая картина голени перед баллонной ангиопластикой |
|
|
| Ангиографическая картина после баллонной ангио пластики | |
Контрольная ангиография показала полный успех: герметичные швы, состоятельные анастомозы и, главное, – восстановленный кровоток по всем сосудам левой нижней конечности до пальцев.
Перед окончательным завершением бригада сосудистых хирургов послойно ушивает раны с дренированием силиконовыми трубками. На послеоперационные раны наложены асептические повязки.
После операции пациент провел сутки под наблюдением в отделении реанимации, после чего был переведен в обычную палату. Уже через 7 дней после столь масштабного вмешательства пациент был в стабильном состоянии и выписан домой для дальнейшего восстановления.
Благодаря слаженной работе двух хирургических бригад, применению гибридных технологий и современного оборудования, удалось успешно провести операцию: остановить прогрессирование критической ишемии, восстановить кровоснабжение конечности и спасти ногу от ампутации.
Данный клинический случай демонстрирует возможности современной сосудистой хирургии в лечении самых сложных форм поражений артерий, когда командный подход и комбинация методов позволяют достичь успеха там, где ранее единственным вариантом могла быть ампутация.
