Хронический периодонтит
Хронический периодонтит представляет собой одну из форм заболевания, возникающего из-за того, что в ткани периодонта через отверстия корневых каналов, находящиеся на верхушках зубных корней, проникают патогенные микроорганизмы. Хронический периодонтит корней сопровождается нарушением целостности связок, обеспечивающих фиксацию и стабильность зуба, деструктивными процессами костной ткани и может привести к образованию гранулём и крупных кист.
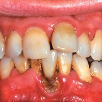
Хронический периодонтит представляет собой патологический процесс в околозубных тканях. Это связано с развитием воспаления в периодонте и с образованием фиброзной, гранулирующей, гранулематозной ткани. При хронической форме заболевания периодически происходят обострения, при которых наблюдается отечность десен, расшатывание зубов, появление свищей с выделением гноя и т.д. Специалисты выявляют данную патологию и отличают ее от схожих заболеваний при помощи электроодонтометрии, рентгена и визуального осмотра. Отсутствие должного лечения приводит к потере зубов из-за ослабления связочного аппарата и роста крупных капсул с гноем.
Симптомы заболевания

Общая симптоматика зависит от формы патологии. При образовании гранулем наблюдаются приступы боли при воздействии горячей пищи. Надавливание на пораженный зуб и десну сопровождаются болью. Размер и плотность слизистой в пораженной зоне меняются, гранулема формируется под костью или слизистой.
Обострение сопровождается появлением свищей, которые растут и постепенно выделяют свое содержимое в ротовую полость. При этом гнойные свищи могут появиться не только на деснах, но и на скулах, щеках, шее, подбородке. Выделение гноя может проводиться вместе с выделением гранулезной ткани. Далее свищ проходит, а на его месте появляется шрам.
Гранулематозная форма долго протекает без выраженных симптомов. Только после роста гранулемы до крупных размеров и образования кист появляются основные симптомы: изменение цвета и сильная боль в зубе, развитие флюса и опухание десен в пораженной зоне. Слишком большие кисты могут спровоцировать перелом челюсти и длительную реабилитацию.
Фиброзный периодонтит – это самая скрытая форма патологии. Болевые ощущения при пережевывании пищи и употреблении горячих напитков отсутствуют. Выраженные симптомы наблюдаются только при обострении. Присутствует общее отравление организма из-за проникновения гноя в кровь, зуб расшатывается, лимфатические узлы в данной области становится крупнее.
Причины появления хронического периодонтита

Хронический периодонтит появляется при отсутствии лечения острой формы. Заболевание развивается из-за травматического, токсического, инфекционного, механического влияния на ткани.
Инфекционная форма развивается из-за проникновения болезнетворных микроорганизмов в ротовую полость. Это связано с поражением мягких тканей стафилококками, дифтероидами, стрептококками. Проникновение бактерий в ткани проходит через отверстия корневых каналов или гематогенным путем. Нередко инфекция прогрессирует на фоне остеомиелита, синусита, пародонтита, тонзиллита.
Фиброзная форма чаще прогрессирует после сильных травм. Например, после разрушения тканей штифтом, пломбой, коронкой. Развиться патология может и из-за сильного удара.
Медикаментозный периодонтит появляется из-за применения препаратов, которые провоцируют коагуляционный некроз периодонтальной связки. Сюда относят резорцин-формалин и мышьяковистую пасту. Отравление тканей провоцируется местной анестезией, йодом, кислотами и т.д.
Отсутствие положительного результата после консервативного и хирургического лечения – основное показание к удалению пораженных зубов. Экстракция проводится при следующих симптомах:
- Значительные повреждения коронки.
- Сильное расшатывание зуба.
- Образование крупных кист и гранулем.
- Невозможность проведения операции из-за непроходимости каналов.
- Отсутствие результата при хирургическом и консервативном лечении.
- Инфекции в ротовой полости.
- Аллергия на анестезию.
- Непереносимость антибиотиков и противомикробных средств.
- Острые заболевания сердечно-сосудистой системы.
- Плохая свертываемость крови.
Виды хронического периодонтита и их клинические проявления
Принято выделять несколько форм заболевания, диагностика которых необходима для того, чтобы правильно назначить лечение хронического периодонтита. Для этого врач-стоматолог проводит визуальный осмотр ротовой полости, назначает электроодонтодиагностику и рентгенограмму.
Хронический фиброзный периодонтит
Самостоятельная диагностика этого вида хронического периодонтита весьма затруднена из-за практически полного отсутствия клинических проявлений. Больной не испытывает болевых ощущений, отсутствует и реакция на температурные раздражители.
При осмотре врач-стоматолог отмечает изменение цвета зуба, наличие реакции на перкуссию и болезненность зондирования. Полость зуба заполнена отмершей пульпой, которая издаёт гнилостный запах. На рентгеновском снимке хорошо просматривается увеличение периодонтальной щели у верхушки корня, разрушение костной ткани и цемента отсутствует.
Хронический гранулирующий периодонтит
Болезненные ощущения, характерные для этого вида хронического периодонтита, не существенны. Наблюдаются ощущения тяжести и распирания, может присутствовать несущественная болезненность при воздействии механических раздражителей. Обострение хронического гранулирующего периодонтита сопровождается образованием свища, через который выходит гной или прорастает грануляционная ткань.
Дёсны при этом заболевании становятся рыхлыми. При надавливании на воспалённую область тупым концом стоматологического инструмента появляется небольшая впадина, которая исчезает лишь через некоторое время. На рентгеновском снимке просматривается очаг деструктивных процессов кости, дентина и цемента.
Хронический гранулёматозный периодонтит

Симптомы хронического периодонтита этого вида также практически незаметны для больного. Иногда могут возникать незначительные неприятные ощущения и болезненность при накусывании на поражённый зуб.
Осмотр у стоматолога позволяет выявить изменение цвета коронковой части зуба, но кариозная полость присутствует не обязательно. В корневых каналах обнаруживаются остатки отмершей пульпы. Если каналы до этого были запломбированы, то качество пломбирования недостаточно хорошее.
Рентгеновский снимок позволяет определить деструкцию костной ткани, имеющую круглую форму. Нередко этот процесс можно обнаружить на зубных тканях или области верхушки корня.
Диагностика хронического периодонтита
На приеме у стоматолога проводится визуальный осмотр, пальпация, перкуссия зуба, зондирование кариозных тканей, оценка температуры. Только после выполнения электроодонтодиагностики и радиовизиографии устанавливается точный диагноз. Обязательно делается рентгеновский снимок для проверки разрежения костной ткани. Электроодонтодиагностика демонстрирует возбудимость более 100 мкА.
Лечение хронической формы
Хорошая проходимость каналов позволяет выполнять терапевтическое лечение:
- Вскрытие зуба.
- Обработку антисептиком.
- Очистку каналов.
- Применение противовоспалительных препаратов.
- Установку временной пломбы.
После процедуры назначаются антибиотики и повторный прием спустя 3 месяца. Если рентген покажет излечения от заболевания, то проводится обработка каналов антисептиком и установка постоянной пломбы. Хирургическое вмешательство подразумевает проведение цистэктомии, резекции верхней части корня, гемисекции, удаления корня. Отсутствие результатов после лечения является поводом для экстракции больного зуба.
Обострение хронического периодонтита
Нередко пациенты обращаются за лечением острого хронического периодонтита, который проявляется достаточно ярко. В основном это касается гранулёматозного и гранулирующего видов, обострения которых возникают гораздо чаще, чем фиброзного. Клинические проявления в этот период включают в себя:
- постоянную локализованную боль;
- отёк мягких тканей;
- наличие реакции на воздействие механических раздражителей;
- болезненную реакцию лимфатических узлов.
Рекомендации после лечения
После консервативного или хирургического лечения нельзя употреблять пищу 2-3 часа из-за действия анестезии. Могут наблюдаться болевые ощущения в течение 7 дней после операции. Рекомендуется полоскать рот антисептиками и отваром целебных трав. При сильных болевых ощущениях рекомендован прием обезболивающих средств. Если болевые ощущения сохраняются и наблюдается сильная отечность, немедленно обратитесь к лечащему врачу.
Запись на прием
Запишитесь к интересующему вас специалисту
Выбрать специалиста