🔥Скидка на лучевую диагностику КТ и МРТ🔥

Опухоли невринома

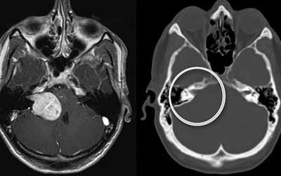
Невринома — это новообразование доброкачественной этиологии, растущее из шванновских клеток (леммоцитов), формирующих миелиновую оболочку нервных волокон. Чаще всего она поражает слуховой нерв, однако может встречаться и на любых других нервах. Её диагностируют в 10% случаев церебральных новообразований, 20% — опухолей спинномозгового канала и 50% случаев опухолей периферических нервов.

Лечение невриномы — хирургическое. Пройти операцию по её удалению в Москве приглашает отделение нейрохирургии ЦЭЛТ. Мы работаем на рынке платных медицинских услуг уже более тридцати лет и проводим лечение в соответствии с международными стандартами. В арсенале наших нейрохирургов имеется современное оборудование и щадящие методики, подбор которых осуществляется индивидуально, что позволяет добиваться наилучших результатов.

Опухоли невринома

Этиология невриномы

Научные исследования выявили связь между развитием невриномы и чрезмерно активным размножении леммоцитов. Причину подобного явления пока установить не удалось. Сама по себе опухоль отличается медленным развитием и выглядит как узел круглой или овальной, а иногда — и неправильной формы. Его поверхность достаточно неровная, с буграми, покрытая капсулой. Цвет тканей может быть разным, поскольку зависит от уровня кровоснабжения невриномы: он варьируется от бледно-серого до синюшного. Внутри выявляют кисты различного размера с жидкостью, возможно частичное или полное перерождение в кисту.

Специалисты выделяют ряд факторов, повышающих риск развития невриномы. К ним относят следующее:

  • Воздействие химических агентов и ядов;
  • Плохая экология, загрязнённость воздуха;
  • Воздействие ионизирующей радиации;
  • Частые воспалительные процессы тканей нервов;
  • Регулярное поступление в организм канцерогенов с потребляемой пищей.

Симптоматика невриномы

Как уже упоминалось, невринома растёт достаточно медленно, поэтому, как правило, в течение длительного срока больной может не отмечать негативных изменений в самочувствии. Однако, по мере развития новообразование начинает давить на соседние ткани, а поражённый нерв теряет возможность выполнять свои функции. Клинические проявления напрямую зависят от локализации проблемы и могут быть следующими:

  • Снижение слуха со стороны невриномы, тошнота и рвота при поражениях слухового нерва;
  • Боли в лицевой области, ослабление мимических мышц — поражён тройничный нерв;
  • Болевая симптоматика, слабость, атрофические процессы и нарушения чувствительности в области поражённого спинального корешка;
  • Болевые ощущения, слабость и атрофия, трофические расстройства, если в патологический процесс вовлечён периферический нерв.

Осложнения невриномы

Опасность невриномы заключается в сложности её выявления на ранней стадии развития из-за отсутствия клинических проявлений. Однако, отсутствие своевременного лечения является причиной развития серьёзных осложнений в виде:

  • полной потери слуха;
  • паралича лицевых мышц со стороны поражённого нерва;
  • нарушения функций глотании и речи;
  • серьёзных зрительных расстройств;
  • повышения внутричерепного давления;
  • расстройств функций таза.

Диагностика и лечение невриномы в ЦЭЛТ

Штат нашего нейрохирургического отделения укомплектован врачами высшей категории с десятками лет опыта практической и научной работы. В их арсенале имеется мощная диагностическая и хирургическая база, позволяющая проводить комплексные исследования и добиваться наилучших результатов в лечении. Перед тем как приступить к нему, проводится комплексная диагностика, направленная определение точного места роста невриномы, её размеров, воздействия на окружающие ткани, наличие кистозных изменений. Для этого пациенту назначают:

  • УЗ-сканирование периферических нервов;
  • компьютерную томографию с контрастом;
  • электрическую нейромиографию;
  • церебральную магнитно-резонансную томографию;
  • забор ткани невриномы для гистологии.

Хирургическое лечение предусматривает два способа удаления невриномы:

  • Традиционное иссечение — направлено на удаление тканей новообразования из нервных волокон, а потому сопряжено с высоким риском повреждения последних с невозможностью восстановления функций. Помимо этого, существует вероятность сохранения частиц опухоли и рецидива заболевания. Добиться снижения вышеперечисленных рисков можно за чёт использования микрохирургических методик, которые дают неплохие результаты;
  • Радиохирургическое иссечение — предусматривает задействование радиоволнового ножа, оказывающего направленное воздействие на клетки невриномы. Таким образом достигается её уменьшение или полное исчезновение без риска травмировать здоровые ткани. Способ оптимален при внутричерепных или спинномозговых новообразованиях.

Почему нам доверяют

Пройти полное обследование и начать лечение можно в многофункциональной клинике ЦЭЛТ – последние достижения медицины на страже вашего здоровья.

Получить больше информации об операции по удалению невриномы, а также узнать её точную стоимость можно записавшись на приём к нашим специалистам: +7 (495) 266-91-14.

Наши врачи

Все врачи

Нейрохирургия

  • Все направления

  • Алгология

  • Аллергология

  • Анестезиология, реанимация и интенсивная терапия

  • Аритмология

  • Бариатрическая хирургия

  • Гастроэнтерология

  • Гематология

  • Гепатология

  • Гинекология

  • Дерматовенерология

  • Диагностика

  • Иглорефлексотерапия

  • Иммунология

  • Кардиология

  • Клиника боли

  • Клинико-диагностическая лаборатория

  • Компьютерная томография

  • Косметология

  • Магнитно-резонансная томография

  • Маммология

  • Мануальная терапия

  • Массаж

  • Неврология

  • Нейрохирургия

  • Нефрология

  • Онкология

  • Оториноларинология

  • Офтальмология

  • Педиатрия

  • Пластическая хирургия

  • Проктология

  • Психиатрия

  • Психология

  • Пульмонология

  • Ревматология

  • Рентгенология

  • Сердечно-сосудистая хирургия

  • Стоматология

  • Сурдология

  • Терапия

  • Травматология и ортопедия

  • Трансфузиология

  • Ультразвуковая диагностика (УЗИ)

  • Урология

  • Физиотерапия

  • Флебология

  • Хирургия

  • Центр Интегративной медицины, медицинской реабилитации и рефлексотерапии

  • Эндокринная хирургия

  • Эндокринология

  • Эндоскопия

Запись на прием

Ваше имя и отчество*

Номер телефона*

Направление

Нейрохирургия

  • Алгология

  • Аллергология

  • Анестезиология, реанимация и интенсивная терапия

  • Аритмология

  • Бариатрическая хирургия

  • Гастроэнтерология

  • Гематология

  • Гепатология

  • Гинекология

  • Дерматовенерология

  • Диагностика

  • Иглорефлексотерапия

  • Иммунология

  • Инфузионная терапия

  • Кардиология

  • Клиника боли

  • Клинико-диагностическая лаборатория

  • Компьютерная томография

  • Косметология

  • Магнитно-резонансная томография

  • Маммология

  • Мануальная терапия

  • Массаж

  • Неврология

  • Нейрохирургия

  • Нефрология

  • Онкология

  • Оториноларинология

  • Офтальмология

  • Педиатрия

  • Пластическая хирургия

  • Проктология

  • Психиатрия

  • Психология

  • Пульмонология

  • Ревматология

  • Рентгенология

  • Сердечно-сосудистая хирургия

  • Сестринский уход

  • Стоматология

  • Сурдология

  • Терапия

  • Травматология и ортопедия

  • Трансфузиология

  • Ультразвуковая диагностика (УЗИ)

  • Урология

  • Физиотерапия

  • Флебология

  • Функциональная диагностика

  • Хирургия

  • Центр Интегративной медицины, медицинской реабилитации и рефлексотерапии

  • Эндокринная хирургия

  • Эндокринология

  • Эндоскопия

Предпочитаемая дата и время

с 09.00 до 10.00 с 10.00 до 11.00 с 11.00 до 12.00 с 12.00 до 14.00 с 14.00 до 18.00

Комментарий

Нажимая на кнопку “Отправить”, вы выражаете свое согласие с условиями обработки персональных данных

Запишитесь к интересующему вас специалисту

Выбрать специалиста

Круглосуточная справочная служба

Обратиться

Этот сайт использует файлы cookie для обеспечения корректной работы. Продолжая использовать сайт, вы соглашаетесь с положением.

Telegram
Позвонить
Записаться