🔥Скидка на лучевую диагностику КТ и МРТ🔥

Опухоли шваннома

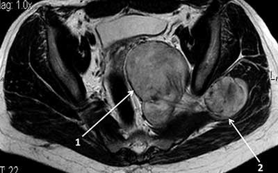
Шваннома является новообразованием доброкачественной природы, развивающимся из шванновских клеток. Последние формируют миелиновую оболочку нервных волокон и по неустановленным причинам способны начать слишком активное размножение, которое и приводит к появлению опухоли. Шваннома поражает разные нервы, однако чаще всего её диагностируют на слуховом. На её долю приходится 10% случаев церебральных, 20% спинномозговых и 50% опухолей периферических нервов.

Пройти хирургическое лечение шванномы в Москве приглашает отделение нейрохирургии ЦЭЛТ. Уже более 30-ти лет мы работаем на отечественном рынке платных медицинских услуг и располагаем всем необходимым для проведения лечения в соответствии с международными стандартами. Наши нейрохирурги имеют за плечами десятилетия опыта практической и научной работы и применяют эффективные щадящие методики.

Опухоли шваннома

Этиология шванномы

Несмотря на то, что учёным удалось установить связь между развитием шванномы и чрезмерно активным размножением шванновских клеток, причина последнего до сих пор не известна. Существует ряд теорий, согласно которым инициирующие факторы развития опухоли — следующие:

  • Плохая экология, загрязнённость воздуха;
  • Воздействие химических агентов, токсинов, ядов;
  • Воспаление тканей нервов;
  • Воздействие ионизирующей радиации;
  • Регулярное потребление пищи с канцерогенами.

Новообразование растёт медленно и имеет вид круглого или овального узла с неровной поверхностью, покрытой капсулой. Внутри шванномы нередко обнаруживаются кисты разного размера, заполненные патологической жидкостью.

Клиника шванномы

Из-за медленного роста шванномы и практически полного отсутствия клинических проявлений, её обнаруживают достаточно поздно. Это происходит на том этапе, когда она начинает сдавливать соседние ткани, а поражённый нерв теряет способность нормально выполнять свои функции. Клиническая картина напрямую зависит от того, какой именно нерв повреждён:

  • Слуховой — снижается слух со стороны шванномы, может проявляться тошнота и рвота;
  • Тройничный — болевая симптоматика в области лица, ослабление мимических мышц;
  • Спинальный корешок — болевые ощущения, слабость, атрофия и нарушения чувствительности в области опухоли;
  • Периферический — боли, атрофия, слабость, трофические расстройства поражённой области.

Осложнения шванномы

Как уже упоминалось, часто шванному обнаруживают когда она уже выросла до внушительных размеров. Раннее диагностирование происходит, как правило, случайно: если пациент обращается к врачу по поводу другой проблемы. Своевременность лечения играет важную роль, поскольку позволяет исключить следующие осложнения:

  • Полная утрата слуха;
  • Нарушения глотательной и речевой функции;
  • Парез лицевых мышц со стороны поражения;
  • Расстройства зрительных функций;
  • Повышение внутричерепного давления;
  • Нарушение функций таза.

Диагностика и лечение шванномы в ЦЭЛТ

В нейрохирургии ЦЭЛТ работают кандидаты и доктора наук, врачи высшей категории, проводящие научную и практическую работы. Они располагают мощной диагностической базой, позволяющей точно ставить диагноз. Перед тем, как разработать тактику лечения шванномы, они проводят комплексную диагностику, позволяющая установить её размер, локализацию, влияние на окружающие ткани, кистозные изменения. Для этого назначают:

  • компьютерную томографию с контрастом;
  • УЗ-сканирование периферических нервов;
  • церебральную магнитно-резонансную томографию;
  • электрическую нейромиографию;
  • забор ткани шванномы для гистологии.

Способы хирургического удаления шванномы

  • Традиционное удаление
    Предусматривает удаление тканей шванномы из нервных волокон, что может стать причиной их повреждения. Нередки случаи, когда частицы опухоли остаются и провоцируют рецидив. Снизить риски позволяют микрохирургические методики.
  • Радиохирургическое иссечение
    В процессе используется радиоволновой нож, который оказывает направленное воздействие на клетки шванномы. В результате удаётся добиться её частичного или полного удаления, не повреждая здоровые ткани. Последнее позволяет использовать способ при опухолях внутри черепа или в спинномозговом канале.

Почему нам доверяют

Пройти полное обследование и начать лечение можно в многофункциональной клинике ЦЭЛТ – последние достижения медицины на страже вашего здоровья.

Хотите узнать больше? Интересует стоимость удаления шванномы? Записывайтесь на приём к нашим специалистам и получайте ответы на любые вопросы: +7 (495) 266-91-14.

Наши врачи

Все врачи

Нейрохирургия

  • Все направления

  • Алгология

  • Аллергология

  • Анестезиология, реанимация и интенсивная терапия

  • Аритмология

  • Бариатрическая хирургия

  • Гастроэнтерология

  • Гематология

  • Гепатология

  • Гинекология

  • Дерматовенерология

  • Диагностика

  • Иглорефлексотерапия

  • Иммунология

  • Кардиология

  • Клиника боли

  • Клинико-диагностическая лаборатория

  • Компьютерная томография

  • Косметология

  • Магнитно-резонансная томография

  • Маммология

  • Мануальная терапия

  • Массаж

  • Неврология

  • Нейрохирургия

  • Нефрология

  • Онкология

  • Оториноларинология

  • Офтальмология

  • Педиатрия

  • Пластическая хирургия

  • Проктология

  • Психиатрия

  • Психология

  • Пульмонология

  • Ревматология

  • Рентгенология

  • Сердечно-сосудистая хирургия

  • Стоматология

  • Сурдология

  • Терапия

  • Травматология и ортопедия

  • Трансфузиология

  • Ультразвуковая диагностика (УЗИ)

  • Урология

  • Физиотерапия

  • Флебология

  • Хирургия

  • Центр Интегративной медицины, медицинской реабилитации и рефлексотерапии

  • Эндокринная хирургия

  • Эндокринология

  • Эндоскопия

Запись на прием

Ваше имя и отчество*

Номер телефона*

Направление

Нейрохирургия

  • Алгология

  • Аллергология

  • Анестезиология, реанимация и интенсивная терапия

  • Аритмология

  • Бариатрическая хирургия

  • Гастроэнтерология

  • Гематология

  • Гепатология

  • Гинекология

  • Дерматовенерология

  • Диагностика

  • Иглорефлексотерапия

  • Иммунология

  • Инфузионная терапия

  • Кардиология

  • Клиника боли

  • Клинико-диагностическая лаборатория

  • Компьютерная томография

  • Косметология

  • Магнитно-резонансная томография

  • Маммология

  • Мануальная терапия

  • Массаж

  • Неврология

  • Нейрохирургия

  • Нефрология

  • Онкология

  • Оториноларинология

  • Офтальмология

  • Педиатрия

  • Пластическая хирургия

  • Проктология

  • Психиатрия

  • Психология

  • Пульмонология

  • Ревматология

  • Рентгенология

  • Сердечно-сосудистая хирургия

  • Сестринский уход

  • Стоматология

  • Сурдология

  • Терапия

  • Травматология и ортопедия

  • Трансфузиология

  • Ультразвуковая диагностика (УЗИ)

  • Урология

  • Физиотерапия

  • Флебология

  • Функциональная диагностика

  • Хирургия

  • Центр Интегративной медицины, медицинской реабилитации и рефлексотерапии

  • Эндокринная хирургия

  • Эндокринология

  • Эндоскопия

Предпочитаемая дата и время

с 09.00 до 10.00 с 10.00 до 11.00 с 11.00 до 12.00 с 12.00 до 14.00 с 14.00 до 18.00

Комментарий

Нажимая на кнопку “Отправить”, вы выражаете свое согласие с условиями обработки персональных данных

Запишитесь к интересующему вас специалисту

Выбрать специалиста

Круглосуточная справочная служба

Обратиться

Этот сайт использует файлы cookie для обеспечения корректной работы. Продолжая использовать сайт, вы соглашаетесь с положением.

Telegram
Позвонить
Записаться