🔥Скидка на лучевую диагностику КТ и МРТ🔥

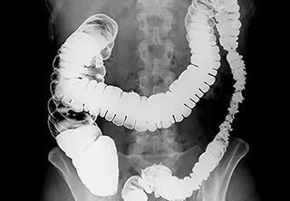
Ирригоскопия

Ирригоскопия – это метод рентгенологического обследования толстой кишки. В качестве контрастного вещества чаще всего используются препараты бария. Они дают очень четкую рентгеновскую «тень», безвредны для организма пациента, а после исследования легко выводятся наружу.

Ирригоскопия является популярным и информативным способом обследования кишечника. Основные его преимущества заключены в крайне малом риске травматизации кишки, лучшей переносимости пациентом, а также относительной дешевизне по сравнению с колоноскопией и другими диагностическими методиками.

Ирригоскопия

Преимущества услуги

  • Крайне малый риск травматизации кишки

    Крайне малый риск травматизации кишки

  • Лучшая переносимость пациентом

    Лучшая переносимость пациентом

  • Относительная дешевизна

    Относительная дешевизна

Для чего служит ирригоскопия?

Это исследование назначается для уточнения диагноза при подозрениях на такие заболевания, как:

  • дивертикулярная болезнь;
  • свищи;
  • язвенный колит и болезнь Крона;
  • полипы, а также злокачественные и доброкачественные новообразования в толстой кишке;
  • аномалии анатомии и пороки развития кишечника.

Кроме того, с помощью ирригоскопии врачи получают ценную информацию о форме и положении толстой кишки, эластичности ее стенок, сократительной способности. Это исследование позволяет оценить функциональную активность и работоспособность различных отделов этого органа.


Часто задаваемые вопросы

В каких случаях назначается ирригоскопия?

Показаниями для проведения данного обследования являются:

  • постоянные выделения из кишечника, носящие гнойный или кровянистый характер;
  • боли в животе неуточненного характера;
  • дефекации, сопровождающиеся болевыми ощущениями;
  • хронические нарушения консистенции стула в виде запоров или диареи.

Ирригоскопия выполняется с целью уточнения диагноза, а также в плане предоперационного обследования перед операциями на органах брюшной полости и малого таза. Показания к проведению исследования определяет врач!


Как проводится ирригоскопия?

Контрастное вещество, представляющее собой жидкую бариевую взвесь, вводится в прямую кишку с помощью клизмы. Этот процесс проходит под контролем рентгеноскопии. Во время заполнения кишечника контрастной смесью и в процессе опорожнения кишки специалист-рентгенолог выполняет прицельные и обзорные снимки. В некоторых случаях для лучшей визуализации может понадобиться дополнительное введение в толстую кишку некоторого объема воздуха. Все обследование занимает примерно полчаса.


Как подготовиться к проведению ирригоскопии?

Для того, чтобы получить точную и информативную рентгенологическую картину кишечника, необходимо его полностью очистить перед исследованием. С этой целью за 2-3 дня до проведения ирригоскопии необходимо начать следовать определенной диете. Она исключает употребление перловки, овсяной и пшенной каши, молочной пищи, черного хлеба, свежих фруктов, овощей и других продуктов, богатых клетчаткой, а значит, вызывающих усиление газообразование в кишечнике. Все блюда должны быть вареными или приготовленными на пару. За 1-2 дня перед проведением исследования рекомендовано увеличить количество потребляемой жидкости. Вечером в день перед процедурой, а также и утром от употребления пищи необходимо воздержаться полностью, жидкость употреблять можно. Для собственно очищения кишки в настоящее время применяются специальные слабительные препараты (например, Фортранс, Эндофальк, Лавакол и другие). В ряде случаев рекомендуется применение терапевтических доз слабительных препаратов в течение нескольких дней перед исследованием. К применению препаратов могут быть противопоказания. В любом случае каждому пациенту показан индивидуальный план подготовки, который поможет разработать лечащий врач-гастроэнтеролог.


Есть ли противопоказания к ирригоскопии?

Да, есть. Учитывая, что в процессе исследования применяется рентгеновское излучение, ирригоскопию не выполняют беременным женщинам. Доза облучения, получаемая пациентом в ходе процедуры, совсем невелика, но, тем не менее, развивающийся плод необходимо оградить даже от такого незначительного воздействия.

Кроме того, противопоказанием к проведению ирригоскопии может быть тяжесть состояния пациента. Если больной сильно ослаблен, имеет выраженные симптомы сердечной недостаточности, симптомы острого воспалительного процесса в брюшной полости, то вопрос о выполнении ирригоскопии должен решаться его лечащим врачом в индивидуальном порядке.


Ирригоскопия в клинике ЦЭЛТ

Несмотря на доступность и популярность этой процедуры, ее проведение требует от врача специальных знаний и навыков. Специалисты клиники ЦЭЛТ – это высококвалифицированные профессионалы-рентгенологи, каждый из которых имеет большой практический опыт выполнения и оценки результатов ирригоскопии. Отличным подспорьем нашим врачам служит также и современное медицинское оборудование, применяемое в клинике.

Врачи выполняющие данную процедуру

  • 4.8
    Про Докторов
    Демборинский Олег Иванович
    Гастроэнтерология

    Демборинский Олег
    Иванович

    Врач гастроэнтеролог, кандидат медицинских наук, врач высшей категории

  • Подистова Елена Анатольевна
    Гастроэнтерология

    Подистова Елена
    Анатольевна

    Врач - гастроэнтеролог, врач высшей категории

    ДетиПодросткиВзрослые

    Стаж 36 лет

    Записаться на прием
  • Стасева Ирина Вячеславовна
    ГастроэнтерологияТерапия

    Стасева Ирина
    Вячеславовна

    Врач - терапевт, гастроэнтеролог, кандидат медицинских наук

    ВзрослыеДетиДети с 6 летПодростки

    Стаж 25 лет

    Записаться на прием
  • 4.5
    Про Докторов
    Щербенков Игорь Михайлович
    ГастроэнтерологияУльтразвуковая диагностика (УЗИ)

    Щербенков Игорь
    Михайлович

    Врач - гастроэнтеролог, кандидат медицинских наук

    ВзрослыеДетиПодростки

    Стаж 27 лет

    Записаться на прием

Отзывы пациентов

Все отзывы

Гастроэнтерология

  • Все направления

  • Алгология

  • Аллергология

  • Анестезиология, реанимация и интенсивная терапия

  • Аритмология

  • Бариатрическая хирургия

  • Гастроэнтерология

  • Гематология

  • Гинекология

  • Дерматовенерология

  • Диагностика

  • Кардиология

  • Клиника боли

  • Компьютерная томография

  • Косметология

  • Маммология

  • Мануальная терапия

  • Неврология

  • Нейрохирургия

  • Онкология

  • Оториноларинология

  • Офтальмология

  • Проктология

  • Пульмонология

  • Рентгенология

  • Сердечно-сосудистая хирургия

  • Стоматология

  • Терапия

  • Травматология и ортопедия

  • Трансфузиология

  • Ультразвуковая диагностика (УЗИ)

  • Урология

  • Флебология

  • Хирургия

  • Эндокринология

  • Мы будем рады вашему отзыву!

    Мы будем рады вашему отзыву!

  • С. Ярослав

    Глубоко благодарен медицинским работникам Клиники ЦЭЛТ. Их профессионализм и преданность своему делу обеспечили положительный итог лечения (25.02.26 - 27.02.26) моего сломанного голеностопа.

    Сейчас я чувствую себя очень хорошо и продолжаю стандартное восстановление после остеосинтеза мелких трубчатых костей (1й категории сложности).

    Особенно хочу отметить:
    Резщикову Екатерину Евгеньевну, координатора по лечению. Если бы не она, моя коммуникация с необходимыми врачами могла бы и не состоятся. Уехал бы в другую клинику.

    Полтавского Дмитрия Ильича, врача травматолога - ортопеда. Попадаю к специалисту второй раз. В марте 2024 г. сломал голеностоп на другой ноге. Он меня понял и простил))) Наверное.

    Попова Романа Ивановича, врача травматолога - ортопеда. Я до сих пор не понял как можно так выкручивть болты в кость)))
    Замечательные специалисты меня оперировали и лечили. ИМХО.

    ну и конечно святые анестезиолог и операционная медицинская сестра
    Мкртчен Елена Владимировна,
    Матвеева Юлия Александровна.

    Ни чего не почуствовал, но зато все слышал. Хотел ещё увидеть, но мне непозволили)))

    • Дата визита в клинику

      27 февраля 2026

    • Врач

      Попов Роман Иванович

    Подробнее
  • Татьяна Юрьевна

    Большое спасибо Автандилу Михайловичу за эмболизацию!

    • Дата визита в клинику

      08 февраля 2026

    • Врач

      Бабунашвили Автандил Михайлович

    Подробнее
  • Маргарита

    В сентябре привезла мамочку любимую из Белгорода в Москву в ЦЭЛТ в тяжелейшем состоянии, стеноз аортального клапана, необходимо было провести первым этапом стентирование и еще одну операцию . Лечащим врачом нашим была Юлия Николаевна. Это настоящий профессионал, кардиолог высшего уровня. С первого дня очень грамотно скорректировала нам лечение. Затем нам сделали обследование и подошли с полной ответственностью к вопросу дальнейшего плана действий. Юлия Николаевна говорит всё очень ясно, конкретно и только с позиции пользы для пациента. При этом мы каждый день чувствовали невероятную поддержку нашей дорогой Юлии Николаевны. Говорю дорогой, потому что искренне считаю, что без её отзывчивости и бесконечно ценных грамотных советов, мы бы уже не жили. И да , встречаются такие на пути человека врачи, которые дарят вторую жизнь, Ю.Н. Стрельникова стала для нас таким врачом. Под чутким и грамотным её наблюдением мама проходила лечение в клинике ЦЭЛТ , профессор А.М. Бабунашвили - низкий поклон - провел операцию по сложному стентированию, о нём я тоже буду всегда молить небо. Эти люди не бросили нас , не отказались, они спасали мою мамочку и сделали всё для того, чтобы у нее был шанс на жизнь. Юлия Николаевна высочайшего уровня кардиолог, красивая женщина, с чутким сердцем и прекрасным чувством юмора.  Спасибо Вам, Юлия Николаевна , за всё, и за моральную поддержку тоже. Никогда не забуду, как Вы в самый сложный момент отчаяния нашли такие нужные и правильные слова для мамы. Мы живём, спасибо Вам❤️  Дочка с Мамой из Белгорода.

    • Дата визита в клинику

      06 февраля 2026

    • Врач

      Стрельникова Юлия Николаевна

    Подробнее
  • Маргарита

    Автандил Михайлович - профессор мирового уровня. О нем я узнала, обратившись в ЦЭЛТ, от замечательной девушки менеджера Анастасии. У мамы был тяжелый аортальный стеноз. Мы задыхались , сильные отеки , одышка , она уже с трудом ходила. В Белгороде нам помочь не смогли, не было ни квот, ни нужного инструментария. Мы потеряли много времени, прежде чем я начала поиск профессионалов в Москве. После консультации с профессором Бабунашвили появилась надежда. Автандил Михайлович простым и понятным языком разложил по полочкам всю нашу ситуацию. Конструктивный, невероятно грамотный, очень интеллигентный, умнейший профессионал. Несмотря на свой статус и огромный вес в мире кардиологии, он настолько человечен в общении с простыми людьми, что это не может не вызывать огромного уважения. Профессор, несмотря на наш тяжелый случай, с большими рисками, провел нам операцию по стентированию коронарных артерий. 2,5 часа скрупулезно и тщательно освобождал сосуды мамы от каменных залежей. Это без преувеличения настоящий ювелир в эндоваскулярной хирургии. То , с чем не смогли справиться другие врачи (а до этого у других врачей стентирование не удалось), справился профессор А.М. Бабунашвили. Маме установили три стента. Мы очень благодарны профессору, что он от нас не отказался, как другие, что взял наш сложный случай и искренне переживал за нас и нашу дальнейшую судьбу. Низкий Вам поклон, Автандил Михайлович, всегда буду просить небо о Вашем здоровье.  Спасибо, что спасаете жизни.  Дочка с мамой из Белгорода

    • Дата визита в клинику

      04 февраля 2026

    • Врач

      Бабунашвили Автандил Михайлович

    Подробнее
  • Ольга Анатольевна Д

    Выражаю огромную благодарность врачу-офтальмологу Яценко Олегу Юрьевичу!
    Моему отцу он провел операцию по удалению катаракты. Всё прошло блестяще, без осложнений. Зрение вернулось! Профессионализм, спокойствие и уверенность доктора вселили в нас спокойствие. Огромное спасибо за ваш золотые руки и чуткое отношение! Рекомендую этого специалиста как лучшего в своем деле!

    • Дата визита в клинику

      26 января 2026

    • Врач

      Яценко Олег Юрьевич

    Подробнее
  • Анастасия В

    Хочется выразить огромную благодарность врачу Пузыреву Алексею Николаевичу! За отличный прием, проведение процедур и консультации!
    Отзыв клинике на 5, за быстрое оформление и общение с клиентами. Клиника светлая и чистая очень приятная.

    • Дата визита в клинику

      26 января 2026

    • Врач

      Пузырев Алексей Николаевич

    Подробнее
  • Вячеслав Иванович

    Периодически обращаюсь к врачу-офтальмологу Костиковой Ольге Игоревне на осмотр и консультации. Проводит обследование профессионально и тщательно.
    Подробно все объясняет. Спокойный, внимательный и великолепный доктор.

    • Дата визита в клинику

      25 января 2026

    • Врач

      Костикова Ольга Игоревна

    Подробнее

Услуги по направлению Гастроэнтерология

Администрация АО «ЦЭЛТ» регулярно обновляет размещенный на сайте клиники прейскурант. Однако, во избежание возможных недоразумений, просим вас уточнять стоимость услуг по телефону: +7 (495) 266 91 14.

Почему нам доверяют?

  • Бариатрическая операция под ключ – всего за 334 900 рублей

    Мы знаем, насколько важно сохранить здоровье и комфорт для каждого пациента, стремящегося изменить качество своей жизни. Поэтому предлагаем вам уникальную возможность – записаться на лапароскопическую продольную резекцию желудка с полным спектром услуг всего за 334 900 вместо 365 900 рублей. Это ваш первый шаг на пути к здоровью и новым возможностям!

  • Более 30 лет активной работы

    Опыт позволяет нам находить решения даже в самых нестандартных случаях.

  • Более 100.000 сложнейших операций

    Наши врачи умеют работать там, где требуется высочайшая точность и внимание.

  • Научная деятельность

    Наши врачи ведут научную работу и внедряют новые методы лечения.

Запись на прием

Ваше имя и отчество*

Номер телефона*

Направление

Гастроэнтерология

  • Алгология

  • Аллергология

  • Анестезиология, реанимация и интенсивная терапия

  • Аритмология

  • Бариатрическая хирургия

  • Гастроэнтерология

  • Гематология

  • Гепатология

  • Гинекология

  • Дерматовенерология

  • Диагностика

  • Иммунология

  • Инфузионная терапия

  • Кардиология

  • Клиника боли

  • Клинико-диагностическая лаборатория

  • Компьютерная томография

  • Косметология

  • Магнитно-резонансная томография

  • Маммология

  • Мануальная терапия

  • Массаж

  • Неврология

  • Нейрохирургия

  • Нефрология

  • Онкология

  • Оториноларинология

  • Офтальмология

  • Педиатрия

  • Пластическая хирургия

  • Проктология

  • Психиатрия

  • Психология

  • Пульмонология

  • Ревматология

  • Рентгенология

  • Сердечно-сосудистая хирургия

  • Сестринский уход

  • Стоматология

  • Сурдология

  • Терапия

  • Травматология и ортопедия

  • Трансфузиология

  • Ультразвуковая диагностика (УЗИ)

  • Урология

  • Физиотерапия

  • Флебология

  • Функциональная диагностика

  • Хирургия

  • Центр Интегративной медицины,медицинской реабилитации и рефлексотерапии

  • Эндокринная хирургия

  • Эндокринология

  • Эндоскопия

Предпочитаемая дата и время

с 09.00 до 10.00 с 10.00 до 11.00 с 11.00 до 12.00 с 12.00 до 14.00 с 14.00 до 18.00

Комментарий

Нажимая на кнопку “Отправить”, вы выражаете свое согласие с условиями обработки персональных данных

Запишитесь к интересующему вас специалисту

Выбрать специалиста

Круглосуточная справочная служба

Обратиться

Этот сайт использует файлы cookie для обеспечения корректной работы. Продолжая использовать сайт, вы соглашаетесь с положением.

Telegram
Позвонить
Записаться