🔥Скидка на лучевую диагностику КТ и МРТ🔥

МЕНЮ

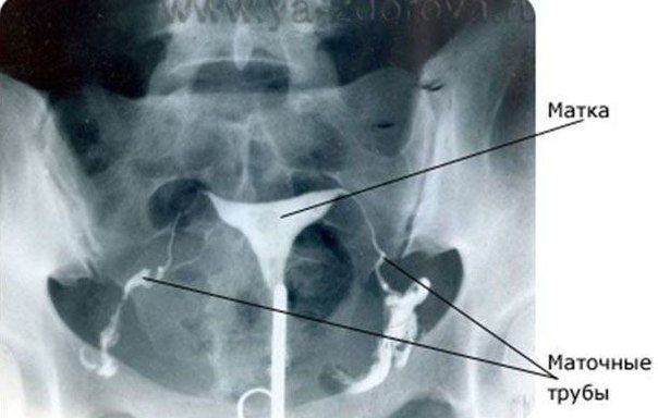
Гистеросальпингография (ГСГ)

Гистеросальпингография (ГСГ) — это рентгенологический метод исследования полости матки и характера проходимости маточных труб с использованием контрастного вещества (водорастворимый йодсодержащий препарат). Данное исследование используется для уточнения или постановки диагноза. Гистеросальпингография выполняется в рентгенологическом кабинете совместно двумя врачами — гинекологом и рентгенологом.

Гистеросальпингография. Исследование в клинике ЦЭЛТ в Москве

Показания

  • подозрение на трубное бесплодие (диагностика нарушения проходимости маточных труб различной этиологии)

  • подозрение на наличие патологии полости матки (полипы, миоматозные узлы, синехии, аномалии развития)

  • подозрение на наличие спаечного процесса в тазу

Противопоказания

  • наличие в организме острых инфекционных процессов любой этиологии

  • воспалительные процессы в матке и придатках

  • аллергия на препараты, содержащие йод

  • маточное кровотечение

  • беременность или подозрение на беременность

Как выполняется гистеросальпингография в ЦЭЛТ?

  • Безболезненно
    С целью обезболивания эффективно применяются нестероидные противовоспалительные средства (вольтарен, найз, диклофенак в виде ректальных свечей) за час до процедуры или внутримышечно перед исследованием. Дополнительного обезболивания, как правило, не требуется.
  • Под контролем гинеколога и рентгенолога
    Пациентка укладывается на стол в рентгеновском кабинете на спину с согнутыми в коленях ногами. Врач-гинеколог производит обработку антисептиком влагалища и шейки матки. Шейка матки фиксируется пулевыми щипцами, через цервикальный канал под контролем монитора вводится контрастное вещество в полость матки и, если трубы проходимы, в трубы и брюшную полость. Выполняется серия снимков на рентгеновском аппарате, которые затем оценивает и описывает специалист. Заключение о результатах ГСГ вместе со снимками выдается на руки пациентке.

Благодаря накопленному опыту наши гинекологи успешно выполняют ГСГ маточных труб, получают качественные результаты и дают точные заключения даже в тех случаях, когда в других медицинских учреждениях исследование оказалось не информативным, например, из-за особенностей анатомии половых путей и возникших из-за этого технических трудностей.

Подготовка перед гистеросальпингографией

  • Условия выполнения ГСГ
    Необходимо с начала нового менструального цикла и до проведения ГСГ воздерживаться от половых контактов, посетить врача­-гинеколога и предоставить мазок на флору (он должен быть 1 степени чистоты и не более, чем недельной давности), а также результат обследования на ИППП (безусловные и условные патогены не должны быть обнаружены).
    Иными словами, состояние влагалища у пациентки, направленной на ГСГ, должно быть идеальным. Это нужно для того, чтобы после процедуры не возникло воспаление матки и маточных т
  • В какой день цикла проводится ГСГ?
    Гистеросальпингография проводится на 6-10 дни от начала очередной менструации.

Почему нам доверяют и выбирают клинику ЦЭЛТ?

  • Высококвалифицированные врачи — кандидаты медицинских наук, врачи высшей категории
  • Огромный опыт по диагностике и лечению гинекологических заболеваний
  • Различные методы диагностики гинекологических заболеваний в одной клинике

Врачи выполняющие данную процедуру

  • Титова Юлия Владимировна
    Гинекология

    Титова Юлия
    Владимировна

    врач-акушер-гинеколог, врач ультразвуковой диагностики

    Взрослые

    Стаж 25 лет

    Записаться на прием

Отзывы пациентов

Все отзывы

Рентгенология

  • Все направления

  • Алгология

  • Аллергология

  • Анестезиология, реанимация и интенсивная терапия

  • Аритмология

  • Бариатрическая хирургия

  • Гастроэнтерология

  • Гематология

  • Гинекология

  • Дерматовенерология

  • Диагностика

  • Кардиология

  • Клиника боли

  • Компьютерная томография

  • Косметология

  • Маммология

  • Мануальная терапия

  • Неврология

  • Нейрохирургия

  • Онкология

  • Оториноларинология

  • Офтальмология

  • Проктология

  • Пульмонология

  • Рентгенология

  • Сердечно-сосудистая хирургия

  • Стоматология

  • Терапия

  • Травматология и ортопедия

  • Трансфузиология

  • Ультразвуковая диагностика (УЗИ)

  • Урология

  • Флебология

  • Хирургия

  • Эндокринология

  • Мы будем рады вашему отзыву!

    Мы будем рады вашему отзыву!

  • Татьяна Юрьевна

    Большое спасибо Автандилу Михайловичу за эмболизацию!

    • Дата визита в клинику

      08 февраля 2026

    • Врач

      Бабунашвили Автандил Михайлович

    Подробнее
  • Маргарита

    В сентябре привезла мамочку любимую из Белгорода в Москву в ЦЭЛТ в тяжелейшем состоянии, стеноз аортального клапана, необходимо было провести первым этапом стентирование и еще одну операцию . Лечащим врачом нашим была Юлия Николаевна. Это настоящий профессионал, кардиолог высшего уровня. С первого дня очень грамотно скорректировала нам лечение. Затем нам сделали обследование и подошли с полной ответственностью к вопросу дальнейшего плана действий. Юлия Николаевна говорит всё очень ясно, конкретно и только с позиции пользы для пациента. При этом мы каждый день чувствовали невероятную поддержку нашей дорогой Юлии Николаевны. Говорю дорогой, потому что искренне считаю, что без её отзывчивости и бесконечно ценных грамотных советов, мы бы уже не жили. И да , встречаются такие на пути человека врачи, которые дарят вторую жизнь, Ю.Н. Стрельникова стала для нас таким врачом. Под чутким и грамотным её наблюдением мама проходила лечение в клинике ЦЭЛТ , профессор А.М. Бабунашвили - низкий поклон - провел операцию по сложному стентированию, о нём я тоже буду всегда молить небо. Эти люди не бросили нас , не отказались, они спасали мою мамочку и сделали всё для того, чтобы у нее был шанс на жизнь. Юлия Николаевна высочайшего уровня кардиолог, красивая женщина, с чутким сердцем и прекрасным чувством юмора.  Спасибо Вам, Юлия Николаевна , за всё, и за моральную поддержку тоже. Никогда не забуду, как Вы в самый сложный момент отчаяния нашли такие нужные и правильные слова для мамы. Мы живём, спасибо Вам❤️  Дочка с Мамой из Белгорода.

    • Дата визита в клинику

      06 февраля 2026

    • Врач

      Стрельникова Юлия Николаевна

    Подробнее
  • Маргарита

    Автандил Михайлович - профессор мирового уровня. О нем я узнала, обратившись в ЦЭЛТ, от замечательной девушки менеджера Анастасии. У мамы был тяжелый аортальный стеноз. Мы задыхались , сильные отеки , одышка , она уже с трудом ходила. В Белгороде нам помочь не смогли, не было ни квот, ни нужного инструментария. Мы потеряли много времени, прежде чем я начала поиск профессионалов в Москве. После консультации с профессором Бабунашвили появилась надежда. Автандил Михайлович простым и понятным языком разложил по полочкам всю нашу ситуацию. Конструктивный, невероятно грамотный, очень интеллигентный, умнейший профессионал. Несмотря на свой статус и огромный вес в мире кардиологии, он настолько человечен в общении с простыми людьми, что это не может не вызывать огромного уважения. Профессор, несмотря на наш тяжелый случай, с большими рисками, провел нам операцию по стентированию коронарных артерий. 2,5 часа скрупулезно и тщательно освобождал сосуды мамы от каменных залежей. Это без преувеличения настоящий ювелир в эндоваскулярной хирургии. То , с чем не смогли справиться другие врачи (а до этого у других врачей стентирование не удалось), справился профессор А.М. Бабунашвили. Маме установили три стента. Мы очень благодарны профессору, что он от нас не отказался, как другие, что взял наш сложный случай и искренне переживал за нас и нашу дальнейшую судьбу. Низкий Вам поклон, Автандил Михайлович, всегда буду просить небо о Вашем здоровье.  Спасибо, что спасаете жизни.  Дочка с мамой из Белгорода

    • Дата визита в клинику

      04 февраля 2026

    • Врач

      Бабунашвили Автандил Михайлович

    Подробнее
  • Ольга Анатольевна Д

    Выражаю огромную благодарность врачу-офтальмологу Яценко Олегу Юрьевичу!
    Моему отцу он провел операцию по удалению катаракты. Всё прошло блестяще, без осложнений. Зрение вернулось! Профессионализм, спокойствие и уверенность доктора вселили в нас спокойствие. Огромное спасибо за ваш золотые руки и чуткое отношение! Рекомендую этого специалиста как лучшего в своем деле!

    • Дата визита в клинику

      26 января 2026

    • Врач

      Яценко Олег Юрьевич

    Подробнее
  • Анастасия В

    Хочется выразить огромную благодарность врачу Пузыреву Алексею Николаевичу! За отличный прием, проведение процедур и консультации!
    Отзыв клинике на 5, за быстрое оформление и общение с клиентами. Клиника светлая и чистая очень приятная.

    • Дата визита в клинику

      26 января 2026

    • Врач

      Пузырев Алексей Николаевич

    Подробнее
  • Вячеслав Иванович

    Периодически обращаюсь к врачу-офтальмологу Костиковой Ольге Игоревне на осмотр и консультации. Проводит обследование профессионально и тщательно.
    Подробно все объясняет. Спокойный, внимательный и великолепный доктор.

    • Дата визита в клинику

      25 января 2026

    • Врач

      Костикова Ольга Игоревна

    Подробнее
  • Ольга Александровна

    Обращалась не первый раз в этот Центр в отделение сосудистой хирургии под руководством профессора Бабунашвили Автондила Михайловича. Диагнозы были экстренные требующие грамотной тактики лечения для сохранения здоровья и жизни. Профессионализм врачей Ситанова Алексея Сергеевича, оснащение отделения современным оборудованием восстановили функцию почек, позволили продолжить полноценную жизнь.  Если  есть проблемы с сосудами, то в этом отделении точно разберутся, поставят правильный диагноз и восстановят нарушенные функции. Доброжелательный персонал и уютная обстановка в отделении дополнительный бонус. Всем сотрудникам низкий поклон и успехов в такой нужной профессии

    • Дата визита в клинику

      19 января 2026

    • Врач

      Бабунашвили Автандил Михайлович

    Подробнее

Услуги по направлению Рентгенография

Почему нам доверяют?

  • Бариатрическая операция под ключ – всего за 305 000 рублей

    Мы знаем, насколько важно сохранить здоровье и комфорт для каждого пациента, стремящегося изменить качество своей жизни. Поэтому предлагаем вам уникальную возможность – записаться на лапароскопическую продольную резекцию желудка с полным спектром услуг всего за 305 000 рублей. Это ваш первый шаг на пути к здоровью и новым возможностям!

  • Более 30 лет активной работы

    Опыт позволяет нам находить решения даже в самых нестандартных случаях.

  • Более 100.000 сложнейших операций

    Наши врачи умеют работать там, где требуется высочайшая точность и внимание.

  • Научная деятельность

    Наши врачи ведут научную работу и внедряют новые методы лечения.

Запись на прием

Ваше имя и отчество*

Номер телефона*

Направление

Рентгенология

  • Алгология

  • Аллергология

  • Анестезиология, реанимация и интенсивная терапия

  • Аритмология

  • Бариатрическая хирургия

  • Гастроэнтерология

  • Гематология

  • Гепатология

  • Гинекология

  • Дерматовенерология

  • Диагностика

  • Иммунология

  • Инфузионная терапия

  • Кардиология

  • Клиника боли

  • Клинико-диагностическая лаборатория

  • Компьютерная томография

  • Косметология

  • Магнитно-резонансная томография

  • Маммология

  • Мануальная терапия

  • Массаж

  • Неврология

  • Нейрохирургия

  • Нефрология

  • Онкология

  • Оториноларинология

  • Офтальмология

  • Педиатрия

  • Пластическая хирургия

  • Проктология

  • Психиатрия

  • Психология

  • Пульмонология

  • Ревматология

  • Рентгенология

  • Сердечно-сосудистая хирургия

  • Сестринский уход

  • Стоматология

  • Сурдология

  • Терапия

  • Травматология и ортопедия

  • Трансфузиология

  • Ультразвуковая диагностика (УЗИ)

  • Урология

  • Физиотерапия

  • Флебология

  • Функциональная диагностика

  • Хирургия

  • Центр Интегративной медицины,медицинской реабилитации и рефлексотерапии

  • Эндокринная хирургия

  • Эндокринология

  • Эндоскопия

Предпочитаемая дата и время

с 09.00 до 10.00 с 10.00 до 11.00 с 11.00 до 12.00 с 12.00 до 14.00 с 14.00 до 18.00

Комментарий

Нажимая на кнопку “Отправить”, вы выражаете свое согласие с условиями обработки персональных данных

Запишитесь к интересующему вас специалисту

Выбрать специалиста

Круглосуточная справочная служба

Обратиться

Этот сайт использует файлы cookie для обеспечения корректной работы. Продолжая использовать сайт, вы соглашаетесь с положением.