🔥Скидка на лучевую диагностику КТ и МРТ🔥

МЕНЮ

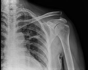
Рентген ключицы

Рентген ключицы — одна из наиболее часто применяемых диагностических методик, основанная на использовании рентгеновских лучей. Она позволяет получить данные о состоянии костной ткани ключи, выявить её переломы, увидеть новообразования, а также врождённые дефекты и аномалии строения.

Несмотря на то, что эта ключица невелика по размерам, она выполняет целый ряд важных функций, начиная с защиты шейно-подмышечного канала и закачивая обеспечением опоры для лопатки и руки. Будучи достаточно хрупкой, она нередко травмируется во время падений и ДТП. Нередки и травмы ключицы ребёнка во время родов: при прохождении родовыми путями, при определённых условиях на ней могут образоваться трещины, а также возможен перелом. Рентген при вывихе или переломе ключицы — обязательная процедура, которая позволяет определить его характер и особенности. Пройти процедуру можно в диагностическом центре многопрофильной клиники ЦЭЛТ. Мы предлагаем одни из лучших условий её проведения на столичном рынке и работаем в соответствии с международными стандартами.

Рентгенография ключицы в клинике ЦЭЛТ в Москве

Показания

  • Неправильное функционирование плечевого пояса

  • Болевая симптоматика в области ключицы и плечевого пояса

  • Недавно перенесённые травмы ключицы

  • Болевая симптоматика, сопровождающаяся воспалительными процессами лимфатических узлов и покраснением кожи

  • Чрезмерная хрупкость кости, из-за которой переломы повторяются и возникшие в связи с этим подозрения на остеопороз

  • Оценка динамики восстановительных процессов костных структур после перелома

Противопоказания

  • Пациентам в тяжёлом состоянии

  • Женщинам в период беременности и лактации

  • Пациентам возрастом до 15-ти лет

  • Нетранспортабельным больным

Как проводят рентген ключицы?

Для получения качественных снимков рентгена ключицы от пациента не требуется особой подготовки. Процедура длится всего несколько секунд, во время которых он должен оставаться неподвижным. Перед началом процедуры пациенту предложат обнажить область ключицы, а также снять с себя любые металлические предметы. Важно сообщить рентгенологу о наличии инородных тел в районе плечевого пояса, чтобы он предпринял меры, исключающие искажение снимка.

Иногда процедуру проводят в одежде, если её невозможно снять. Такое случается при сильных травмах плечевого пояса. Процедуру проводят когда пациент пребывает в состоянии лёжа на рентгенологическом столе на животе или спине. Если это невозможно из-за травмы, разрешается положение стоя. Снимок выполняют только в прямо проекции. В случае, если он не удался, процедуру могут повторить, сделав более прицельную съёмку.

Что показывает рентген ключицы?

Рентгенография ключичной кости позволяет визуализировать костную ткань. Нередко проводят профилактический рентген здоровой ключицы, который позволяет выявить заболевания плечевого пояса на ранней стадии развития. Такой подход рекомендуют пациентам, которые регулярно подвергаются физическим нагрузкам (к примеру, профессиональным борцам). Диагностические исследования позволяют выявить:

  • Трещины и переломы кости;
  • Остеофиты и другие новообразования;
  • Врождённые дефекты;
  • Аномалии строения и развития.

Снимки здоровой ключи должны демонстрировать кость правильной формы, размеры которой соответствуют возрасту пациента. Изображение костей должно быть максимально чётким, структура — однородной, затемнений быть не должно.

Как проводят расшифровку результатов?

При проведении расшифровки данных проводится оценка состояния ключицы по нескольким параметрам — а именно:

  • Размеры, однородной структуры, отсутствие истончений или утолщений;
  • Целостность и плотность кости, что позволяет определить наличие новообразований и патологически изменённых областей;
  • Расположение ключицы по отношению к другим костным структурам плечевого пояса, что позволяет определить наличие вывихов и смещений;
  • Размер межсуставной щели, что даёт возможность выявить артрит или артроз.

Врачи выполняющие данную процедуру

  • Бахчоян Вардан Рубенович
    ДиагностикаМагнитно-резонансная томографияКомпьютерная томографияРентгенология

    Бахчоян Вардан
    Рубенович

    Врач рентгенолог

  • Бутаков Денис Александрович
    ДиагностикаМагнитно-резонансная томографияРентгенологияКомпьютерная томография

    Бутаков Денис
    Александрович

    Рентгенолог

    ПодросткиДетиВзрослые

    Стаж 14 лет

    Записаться на прием
  • Кузина Виктория Валерьевна
    ДиагностикаРентгенология

    Кузина Виктория
    Валерьевна

    Врач - рентгенолог

  • Шавлюк Игорь Сергеевич
    РентгенологияКомпьютерная томография

    Шавлюк Игорь
    Сергеевич

    Врач-рентгенолог

    ВзрослыеДетиПодростки

    Стаж 12 лет

    Записаться на прием

Отзывы пациентов

Все отзывы

Рентгенология

  • Все направления

  • Алгология

  • Аллергология

  • Анестезиология, реанимация и интенсивная терапия

  • Аритмология

  • Бариатрическая хирургия

  • Гастроэнтерология

  • Гематология

  • Гинекология

  • Дерматовенерология

  • Диагностика

  • Кардиология

  • Клиника боли

  • Компьютерная томография

  • Косметология

  • Маммология

  • Мануальная терапия

  • Неврология

  • Нейрохирургия

  • Онкология

  • Оториноларинология

  • Офтальмология

  • Проктология

  • Пульмонология

  • Рентгенология

  • Сердечно-сосудистая хирургия

  • Стоматология

  • Терапия

  • Травматология и ортопедия

  • Трансфузиология

  • Ультразвуковая диагностика (УЗИ)

  • Урология

  • Флебология

  • Хирургия

  • Эндокринология

  • Мы будем рады вашему отзыву!

    Мы будем рады вашему отзыву!

  • Татьяна Юрьевна

    Большое спасибо Автандилу Михайловичу за эмболизацию!

    • Дата визита в клинику

      08 февраля 2026

    • Врач

      Бабунашвили Автандил Михайлович

    Подробнее
  • Маргарита

    В сентябре привезла мамочку любимую из Белгорода в Москву в ЦЭЛТ в тяжелейшем состоянии, стеноз аортального клапана, необходимо было провести первым этапом стентирование и еще одну операцию . Лечащим врачом нашим была Юлия Николаевна. Это настоящий профессионал, кардиолог высшего уровня. С первого дня очень грамотно скорректировала нам лечение. Затем нам сделали обследование и подошли с полной ответственностью к вопросу дальнейшего плана действий. Юлия Николаевна говорит всё очень ясно, конкретно и только с позиции пользы для пациента. При этом мы каждый день чувствовали невероятную поддержку нашей дорогой Юлии Николаевны. Говорю дорогой, потому что искренне считаю, что без её отзывчивости и бесконечно ценных грамотных советов, мы бы уже не жили. И да , встречаются такие на пути человека врачи, которые дарят вторую жизнь, Ю.Н. Стрельникова стала для нас таким врачом. Под чутким и грамотным её наблюдением мама проходила лечение в клинике ЦЭЛТ , профессор А.М. Бабунашвили - низкий поклон - провел операцию по сложному стентированию, о нём я тоже буду всегда молить небо. Эти люди не бросили нас , не отказались, они спасали мою мамочку и сделали всё для того, чтобы у нее был шанс на жизнь. Юлия Николаевна высочайшего уровня кардиолог, красивая женщина, с чутким сердцем и прекрасным чувством юмора.  Спасибо Вам, Юлия Николаевна , за всё, и за моральную поддержку тоже. Никогда не забуду, как Вы в самый сложный момент отчаяния нашли такие нужные и правильные слова для мамы. Мы живём, спасибо Вам❤️  Дочка с Мамой из Белгорода.

    • Дата визита в клинику

      06 февраля 2026

    • Врач

      Стрельникова Юлия Николаевна

    Подробнее
  • Маргарита

    Автандил Михайлович - профессор мирового уровня. О нем я узнала, обратившись в ЦЭЛТ, от замечательной девушки менеджера Анастасии. У мамы был тяжелый аортальный стеноз. Мы задыхались , сильные отеки , одышка , она уже с трудом ходила. В Белгороде нам помочь не смогли, не было ни квот, ни нужного инструментария. Мы потеряли много времени, прежде чем я начала поиск профессионалов в Москве. После консультации с профессором Бабунашвили появилась надежда. Автандил Михайлович простым и понятным языком разложил по полочкам всю нашу ситуацию. Конструктивный, невероятно грамотный, очень интеллигентный, умнейший профессионал. Несмотря на свой статус и огромный вес в мире кардиологии, он настолько человечен в общении с простыми людьми, что это не может не вызывать огромного уважения. Профессор, несмотря на наш тяжелый случай, с большими рисками, провел нам операцию по стентированию коронарных артерий. 2,5 часа скрупулезно и тщательно освобождал сосуды мамы от каменных залежей. Это без преувеличения настоящий ювелир в эндоваскулярной хирургии. То , с чем не смогли справиться другие врачи (а до этого у других врачей стентирование не удалось), справился профессор А.М. Бабунашвили. Маме установили три стента. Мы очень благодарны профессору, что он от нас не отказался, как другие, что взял наш сложный случай и искренне переживал за нас и нашу дальнейшую судьбу. Низкий Вам поклон, Автандил Михайлович, всегда буду просить небо о Вашем здоровье.  Спасибо, что спасаете жизни.  Дочка с мамой из Белгорода

    • Дата визита в клинику

      04 февраля 2026

    • Врач

      Бабунашвили Автандил Михайлович

    Подробнее
  • Ольга Анатольевна Д

    Выражаю огромную благодарность врачу-офтальмологу Яценко Олегу Юрьевичу!
    Моему отцу он провел операцию по удалению катаракты. Всё прошло блестяще, без осложнений. Зрение вернулось! Профессионализм, спокойствие и уверенность доктора вселили в нас спокойствие. Огромное спасибо за ваш золотые руки и чуткое отношение! Рекомендую этого специалиста как лучшего в своем деле!

    • Дата визита в клинику

      26 января 2026

    • Врач

      Яценко Олег Юрьевич

    Подробнее
  • Анастасия В

    Хочется выразить огромную благодарность врачу Пузыреву Алексею Николаевичу! За отличный прием, проведение процедур и консультации!
    Отзыв клинике на 5, за быстрое оформление и общение с клиентами. Клиника светлая и чистая очень приятная.

    • Дата визита в клинику

      26 января 2026

    • Врач

      Пузырев Алексей Николаевич

    Подробнее
  • Вячеслав Иванович

    Периодически обращаюсь к врачу-офтальмологу Костиковой Ольге Игоревне на осмотр и консультации. Проводит обследование профессионально и тщательно.
    Подробно все объясняет. Спокойный, внимательный и великолепный доктор.

    • Дата визита в клинику

      25 января 2026

    • Врач

      Костикова Ольга Игоревна

    Подробнее
  • Ольга Александровна

    Обращалась не первый раз в этот Центр в отделение сосудистой хирургии под руководством профессора Бабунашвили Автондила Михайловича. Диагнозы были экстренные требующие грамотной тактики лечения для сохранения здоровья и жизни. Профессионализм врачей Ситанова Алексея Сергеевича, оснащение отделения современным оборудованием восстановили функцию почек, позволили продолжить полноценную жизнь.  Если  есть проблемы с сосудами, то в этом отделении точно разберутся, поставят правильный диагноз и восстановят нарушенные функции. Доброжелательный персонал и уютная обстановка в отделении дополнительный бонус. Всем сотрудникам низкий поклон и успехов в такой нужной профессии

    • Дата визита в клинику

      19 января 2026

    • Врач

      Бабунашвили Автандил Михайлович

    Подробнее

Услуги по направлению Рентгенография

Почему нам доверяют?

  • Бариатрическая операция под ключ – всего за 305 000 рублей

    Мы знаем, насколько важно сохранить здоровье и комфорт для каждого пациента, стремящегося изменить качество своей жизни. Поэтому предлагаем вам уникальную возможность – записаться на лапароскопическую продольную резекцию желудка с полным спектром услуг всего за 305 000 рублей. Это ваш первый шаг на пути к здоровью и новым возможностям!

  • Более 30 лет активной работы

    Опыт позволяет нам находить решения даже в самых нестандартных случаях.

  • Более 100.000 сложнейших операций

    Наши врачи умеют работать там, где требуется высочайшая точность и внимание.

  • Научная деятельность

    Наши врачи ведут научную работу и внедряют новые методы лечения.

Запись на прием

Ваше имя и отчество*

Номер телефона*

Направление

Рентгенология

  • Алгология

  • Аллергология

  • Анестезиология, реанимация и интенсивная терапия

  • Аритмология

  • Бариатрическая хирургия

  • Гастроэнтерология

  • Гематология

  • Гепатология

  • Гинекология

  • Дерматовенерология

  • Диагностика

  • Иммунология

  • Инфузионная терапия

  • Кардиология

  • Клиника боли

  • Клинико-диагностическая лаборатория

  • Компьютерная томография

  • Косметология

  • Магнитно-резонансная томография

  • Маммология

  • Мануальная терапия

  • Массаж

  • Неврология

  • Нейрохирургия

  • Нефрология

  • Онкология

  • Оториноларинология

  • Офтальмология

  • Педиатрия

  • Пластическая хирургия

  • Проктология

  • Психиатрия

  • Психология

  • Пульмонология

  • Ревматология

  • Рентгенология

  • Сердечно-сосудистая хирургия

  • Сестринский уход

  • Стоматология

  • Сурдология

  • Терапия

  • Травматология и ортопедия

  • Трансфузиология

  • Ультразвуковая диагностика (УЗИ)

  • Урология

  • Физиотерапия

  • Флебология

  • Функциональная диагностика

  • Хирургия

  • Центр Интегративной медицины,медицинской реабилитации и рефлексотерапии

  • Эндокринная хирургия

  • Эндокринология

  • Эндоскопия

Предпочитаемая дата и время

с 09.00 до 10.00 с 10.00 до 11.00 с 11.00 до 12.00 с 12.00 до 14.00 с 14.00 до 18.00

Комментарий

Нажимая на кнопку “Отправить”, вы выражаете свое согласие с условиями обработки персональных данных

Запишитесь к интересующему вас специалисту

Выбрать специалиста

Круглосуточная справочная служба

Обратиться

Этот сайт использует файлы cookie для обеспечения корректной работы. Продолжая использовать сайт, вы соглашаетесь с положением.